top of page

Bienvenido a Dental Antea,
tu Dentista en Querétaro.
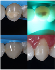
En ésta página encontraras los diferentes Tratamientos que realizamos así como Casos Clínicos de pacientes reales, en donde apreciaras el alto nivel de estética y función que ofrecemos.
Agradecemos la confianza de nuestros pacientes al ofrecernos sus Testimonios.
Contáctanos Aquí para mayor información y agendar tu cita.
- Drs. Baena
Porque nos importa cuidar de tu salud bucal de la manera más ética. Te tratamos como trataríamos a nuestra familia.

blog
Conoce lo que publicamos
VIDEOS MÁS RECIENTES
Visita nuestro canal, suscríbete y no te pierdas ninguno de nuestros videos
Endodoncia vs Implante Dental
¡Corregimos una Encía retraída sin cirugia!
Puentes Vs Implantes Dentales
Pasta Dental Casera- Nuestra receta
Si me quedo sin dientes, ¿Qué opciones tengo?
6 Pacientes reaccionan al verse sin manchas dentales por primera vez.
¿Qué es y cuánto cuesta un Implante?
Alimentos que más manchan tus dientes
INTERACTIVO
Desliza las flechas para ver el Antes y Después de las carillas dentales.
Desliza
bottom of page








































